300/120: ఆపరేషన్ సక్సెస్, చరిత్ర సృష్టించిన ఉస్మానియా వైద్యులు
హైదరాబాద్: ఇటీవల కాలంలో ఉస్మానియా వైద్యులు అరుదైన ఆపరేషన్లు చేసి రికార్డులను సృష్టిస్తున్న సంగతి తెలిసిందే. తాజాగా తకయసు ఓర్టైటిస్ అనే అరుదైన వ్యాధి ఉన్న యవకుడికి ఆపరేషన్ విజయవంతంగా పూర్తి చేసి ఉస్మానియా వైద్యులు చరిత్ర సృష్టించారు.
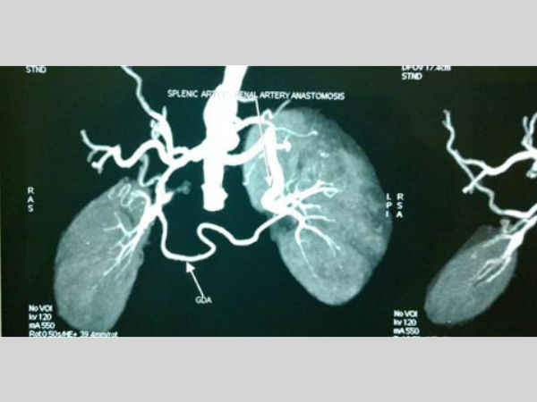
వివరాల్లోకి వెళితే సాధారణంగా ఎవరికైనా హైబీపీ అంటే 200 వరకు ఉంటుంది. కానీ, నల్గొండ జిల్లా మాచవరం గ్రామానికి చెందిన ఎ.హరికృష్ణ (19) అనే యువకుడికి అసాధారణ రీతిలో 300/120 బీపీ ఉంది. దీని వల్ల గుండె ఆర్టరీలు విపరీతంగా వాచిపోయాయి. మూత్రపిండాల్లోని రక్తనాళాలు మూసుకుపోయాయి.

దీంతో ఎంత శక్తివంతమైన మందులు వాడినా, హైబీపీ కంట్రోల్ కాలేదు. ఇలాంటి అరుదైన వ్యాధికి దేశంలోనే తొలిసారిగా ఉస్మానియా వైద్యులు ఆపరేషన్ నిర్వహించారు. వెల్లూరులోని సీఎంసీ ఆస్పత్రి, హైదరాబాద్లోని పలు కార్పొరేట్ ఆస్పత్రులు శస్త్రచికిత్స చేయలేమంటూ చేతులెత్తేశాయి.
దీంతో ఏడాది క్రితం అతడు ఉస్మానియా వైద్యులను సంప్రదించాడు. అతడిని పరిశీలించిన నెఫ్రాలజీ విభాగం అధిపతి డాక్టర్ మధుసూదన్.. రెండు కిడ్నీల్లోనూ గుండె నుంచి రక్తాన్ని సరఫరా చేసే రక్తనాళాలు మూసుకుపోయాయని గుర్తించారు. దాని వల్లే అనియంత్రిత బీపీ వస్తున్నట్లు నిర్ధారించారు.

రెండు దశలుగా అతడికి ఆపరేషన్ను నిర్వహించారు. తొలుత ఎడమ కిడ్నీలోని రక్తనాళాలకు బైపాస్ చేశారు. గుండె నుంచి కిడ్నీ వరకు ఎల్ ఆకారంలో కోసి శస్త్రచికిత్స నిర్వహించారు. దీంతో అతడి ఆరోగ్య పరిస్థితి అదుపులోకి వచ్చింది. ఇక, రెండో దశను మూడు రోజుల క్రితం చేసినట్లు డాక్టర్ మధుసూదన్ చెప్పారు.
ఇందులో భాగంగా కుడి కిడ్నీ రక్తనాళాలకు అదే తరహాలో బైపాస్ చేసినట్లు వివరించారు. ఈ ఆపరేషన్తో అతడి బీపీ నియంత్రణలోకి వచ్చిందని చెప్పారు. ఈ అరుదైన ఆపరేషన్ను నిర్వహించిన వైద్యులను ఆరోగ్య మంత్రి లక్ష్మారెడ్డి అభినందించారు.
-
వివాహేతర సంబంధాల్లో రెండో స్థానంలో హైదరాబాద్.. తాజా సర్వేలో.. -
అద్దె పోయి వాటా వచ్చింది. సింగిల్ స్క్రీన్స్లో మల్టీప్లెక్స్ రూల్స్ -
ప్రతి మిడిల్ క్లాస్ ఫ్యామిలీని కదిలిస్తుంది ఈ సినిమా! -
Tamil Nadu Survey: తమిళనాడులో మారిపోయిన లెక్కలు-తాజా సర్వేలో ఓటర్ల షాక్..! -
ఈ సారి 'తల్లికి వందనం' అమలు అప్పుడే - చంద్రబాబు కీలక ప్రకటన..!! -
కొత్త పెన్షన్ల కోసం భారీగా దరఖాస్తులు, దక్కేది వీరికే - తాజా నిర్ణయం..!! -
CBSE Exam 2026: 12వ తరగతి ఎగ్జామ్ పేపర్ క్యూఆర్ కోడ్ స్కాన్ చేస్తే షాక్..!! -
చర్లపల్లి నుంచి తెలుగు రాష్ట్రాల మీదుగా ఇక ఈ రైళ్లు ..! -
హనుమ జయంతి వేళ చిరంజీవి ఇంట్లో అరుదైన అపురూప దృశ్యం..!! -
మందు బాబుల పండుగ, ఫుల్లు కిక్కు..!! -
అయోధ్య రాముని సన్నిధిలో గౌతమ్ అదానీ..! -
అర్థరాత్రి మీటింగ్.. తెల్లవారేసరికి సీన్ రివర్స్! రష్యాతో భారత్ కొత్త వ్యూహం












Click it and Unblock the Notifications